Tokom istraživanja načina replikacije virusa brazilski naučnici snimili su putem elektronskog mikroskopa nevjerovatne fotografije napada korona virusa.
Stručnjaci sa instituta “Oswaldo Cruz” (IOC/Fiocruz) uhvatili su tačan trenutak kada virus SARS-CoV-2 inficira ljudsku stanicu, prenosi “Index“.
Na prvoj fotografiji vidimo kako čestice korona virusa u obliku nakupina crnih tačkica prijanjaju na stanicu i pokušavaju da prodru kroz staničnu membranu.

Na drugoj fotografiji primjećujemo kako korona virus prodire u stanicu da bi došao do citoplazme, osnovne supstance koja ispunjava stanice i u kojoj se nalaze svi organeli bitni za život stanice, ali i proteini, vitamini, joni, nukleinske kiseline, aminokiseline, šećeri, ugljeni hidrati, masne kiseline itd.

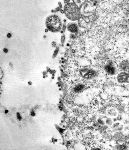
Na trećoj fotografiji možemo vidjeti čestice virusa koje su prodrle u stanicu. Npr., možemo ih uočiti u lijevom donjem uglu kao nakupinu crnih tačkica u bjeličastom krugu.

Zadnja fotografija prikazuje kako čestice virusa SARS-CoV-2 napuštaju unutrašnjost stanice i kreću prema drugoj zdravoj stanici, nastavljajući s ciklusom infekcije. Tamne čestice virusa mogu se jasno vidjeti izvan stanice u donjem lijevom uglu.

